福岡・博多で評判の
医療ホワイトニング
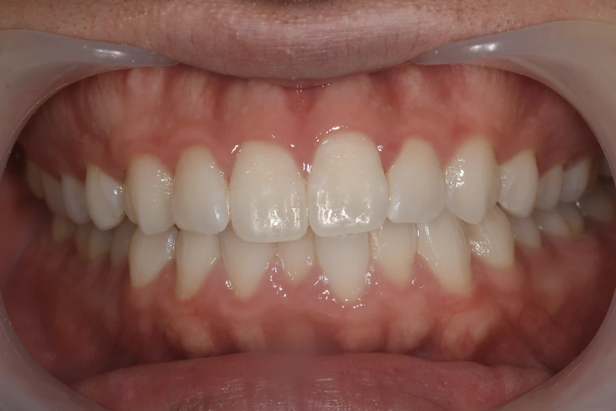
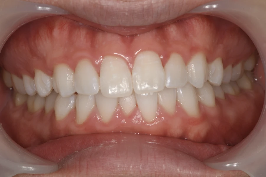
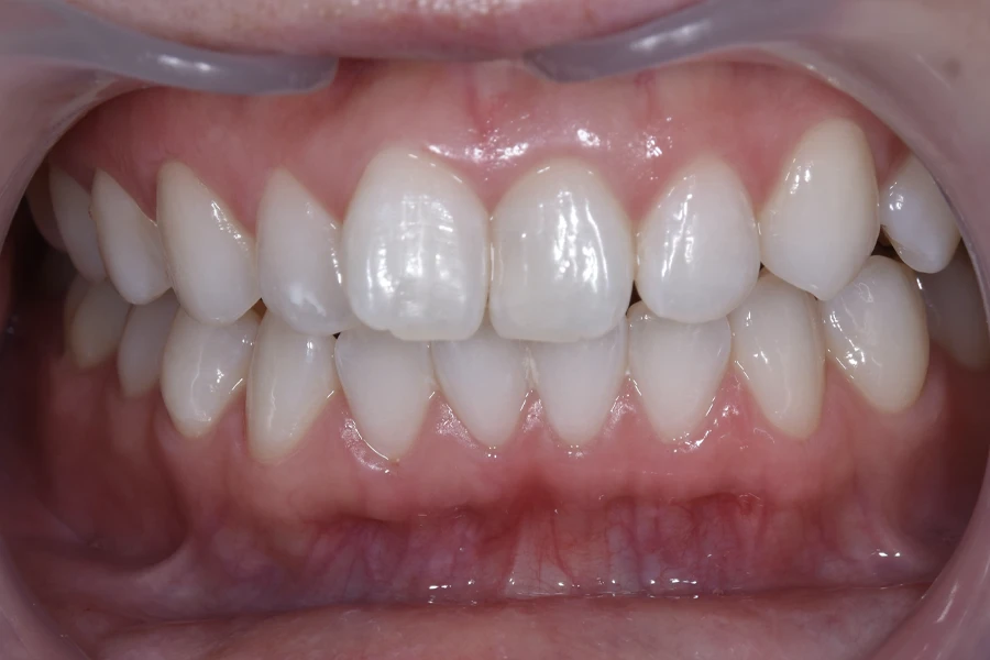
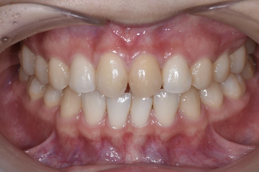
1日で白さを実感。
「虫歯予防」×「ホワイトニング」
友枝式ホワイトニング
-
後戻りしにくい
透明感のある
白さが長持ち -
短期間で、
痛みが少ない急なイベントにも
対応可能 -
食事
施術直後でも
食事制限なし -
虫歯予防
歯質強化・
再石灰化で、虫歯予防
友枝式ホワイトニング
4つの特徴
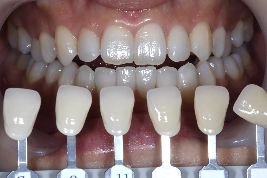
理想的な白さにするには・・・
- アンチエイジング歯科学会・理事であり
美容医療の講師の指導の下 - 特別なホワイトニングによる虫歯予防
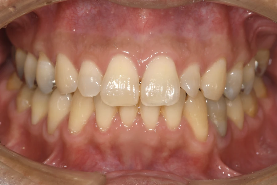
着色や黄ばみの原因は皆さん人それぞれ違うので、原因を特定し、その方にあった理想的な白さをご提供いたします。
治療とホワイトニングを組み合わせることで理想的な白さを手に入れることができます。
日本アンチエイジング歯科学会・
理事であり
美容医療の講師を
10年努める総院長が指導
10年間のホワイトニング回数:1,284回
ホワイトニングに関する講演回数:5回
日本アンチエイジング歯科学会理事であり心理カウンセラーの総院長のもと指導されたドクターやスタッフがより美しい口元へ導きます。
総院長は、歯科治療を行う傍ら、口元の美と健康を叶える美容医療の講師を10年務め、医師や歯科医師の育成を行っています。
審美治療専門の歯科衛生士によるカウンセリング、歯科医師による診断を行います。
色や痛みなどの
アフターフォローも万全
医療機関専用の
薬剤を使用するから
1回で白さを実感できる
私たちは、高度な知識と技術を必要とする、医療機関専用の薬剤を使用することができます。使用効果が高い薬剤をホワイトニングに応用することで、きっと満足のいく結果を得ることが可能です。
他の審美治療のご提案も
トータルで可能
自分史上最高に白くなるホワイトニングを行いますが、他の治療と組み合わせるとさらに美しくなる場合があります。必要に応じてセラミックのかぶせもの、歯並び矯正、ダイレクト・ボンディングなど、その方に応じた審美治療もご提案。分かりやすくスムーズに治療を行うことができます。
せっかく歯医者へ来院した機会に、虫歯、歯周病検診などを同時希望される方も多く、希望の方にはしっかりと対応させていただきます。
虫歯、歯周病治療も専門としているので、
より高度な診断や
他の審美治療のご提案が可能です。
よくある質問
Q.ホワイトニング後、痛みは出ますか?
A.ポリリン酸を使用しているため痛みを感じることは非常に少ないです。
Q.ホワイトニング後、すぐに後戻りはしますか?
A.後戻りしにくいよう、コースでのご提供を行っております。
Q.ホワイトニング中、ホワイトニング後は食事制限はありますか?
A.こちらの友枝式ホワイトニングでの食事制限はございません。
友枝式ホワイトニング価格表
コース紹介
| コース名 | 価格 | 1回あたりの価格 |
|---|---|---|
| お試し 1回コース |
¥6,000 (税込¥6,600) |
※ワンフラッシュのみ |
| 1回コース | ¥41,800 (税込¥45,980) |
¥41,800 (税込¥45,980) |
| 2回コース | ¥76,000 (税込¥83,600) |
¥38,000 (税込¥41,800) |
| 5回コース | ¥125,000 (税込) |
¥25,000 (税込) |
※予告なく価格が変更になる場合がございます。
お支払い方法
現金またはクレジットカード、
デンタルローンが
ご利用いただけます。
| 現金 |
15万円以上の現金支払いに関しては、 お振込をお願いしております。 電子マネー 一部対応可 |
|---|---|
| クレジット カード |
一括・分割払い可能 |
| デンタル ローン |
スルガ銀行のデンタルローンが利用可能 |
ご自宅でお気軽に歯を白く、
歯の白さをキープしたい方向けホームホワイトニング
-
Tionホーム プラチナ
成分が効果的に歯面に作用するように研究された薬剤です。高いホワイトニング効果が期待できます。マイルドなので、初めての方や知覚過敏がある方は、まずはこちらをご案内しております。
-
オパールエッセンス
アメリカから輸入しているオパールエッセンス[opalescence]はより高いホワイトニング効果を期待できます。ただし、知覚過敏の方には刺激となる可能性があるので歯科医師・歯科衛生士との相談が必要です。
ホームホワイトニングセット 価格表
| 商品名 | 価格 | 内容 |
|---|---|---|
| プレミアム | ¥51,000 (税込¥56,100) |
トレー1セット + ジェル6本 + 専用歯磨き粉1本 |
| スタンダード | ¥43,000 (税込¥47,300) |
トレー1セット + ジェル4本 + 専用歯磨き粉1本 |
| ライト | ¥35,000 (税込¥38,500) |
トレー1セット + ジェル2本 |
※2025/5月現在
友枝式ホワイトニング施術の進め方
-
step1無料カウンセリング
審美治療専門の歯科衛生士によるカウンセリングを行います。
-
step2歯科医師による診断
歯科医師が効果や副作用について診断。
着色や黄ばみの原因は皆さんそれぞれ違うので、原因を説明しその方に一番あったパーソナル提案をいたします。 -
step3治療・施術
リラックスして、受けていただけるよう、またお痛みなく最大限効果が出せるように配慮しながら、ホワイトニングを行なってまいります。
-
step4アフターフォロー
治療前後はシェードガイド(色見本)、鏡、お写真で色の確認。効果や副作用を診断、歯のお手入れや、今後のホワイトニング計画をご相談いたします。まずはなりたい白さを目指すこと。
できる限り白さを保つために、アフターフォローを通じてお手伝いをいたします。
友枝式ホワイトニング歯科医師紹介
友枝歯科・矯正歯科クリニック
総院長友枝 亮
歯の健康を守る事は幸せな人生の為に最も重要な事の一つです。そのために、健康長寿の達成を目指す「アンチエイジング」医学の考えを導入し、患者様へ適切な医療と情報を提供いたします。
内装、音、接遇に至るまで五感に訴える癒しと「おもてなし」にこだわり、リラックスして通える空間をプロデュースいたします。とにかく、あなたの歯と健康を守りたい。患者様の人生や美しさまで診るアンチエイジング歯科医院を目指します。
総院長 経歴
| 1976年 | 歯科医師の3代目として生まれる (熊本県) |
|---|---|
| 2001年 | 福岡県立九州歯科大学卒業後、 数ヵ所の歯科医院勤務 |
| 2013年 | 友枝歯科・矯正歯科クリニック 平尾開業 |
| 2016年 | 医療法人L0VE&SMILE設立 理事長就任 |
|---|---|
| 2019年 | 友枝歯科・矯正歯科クリニック 博多駅前開業 |
| 2023年 | 友枝歯科・矯正歯科クリニック 福岡天神開業 |
資格
- 日本歯科医師会 会員
- 厚生労働省認定歯科医師臨床研修 指導医
- 日本抗加齢医学会 専門医
- 日本アンチエイジング歯科学会 理事・認定医
- 米国抗加齢医学会 会員
- 日本口腔インプラント学会 専門医
- 日本補綴歯科学会 会員
- 日本美容内科学会 評議員
- 日本歯科ボツリヌス協会 理事
- 点滴療法研究会認定・高濃度ビタミンC点滴療法認定医
- インビザライン・プラチナドクター
- ヒアルロン酸注入ボツリヌス治療セミナー
主催 - 日本メンタルヘルス協会認定・基礎心理
カウンセラー - 国際スマイリスト協会 会員



















